Invisalign Brooklyn, NY
Orthodontics
Made Simple
- Certified Invisalign® Providers
- 375+ 5-Star Reviews
- Accepting Most Insurance
- Financing Accepted
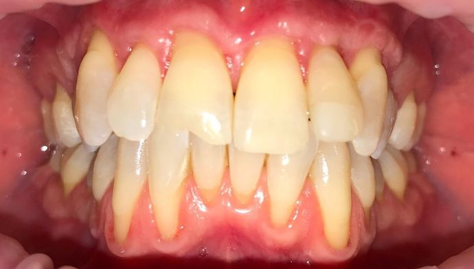
Dramatic Improvements Are Possible With Invisalign by Dentistry at The Heights
Is Invisalign Right for You? Request a Consultation
We will only recommend Invisalign if it is truly the best dental solution for your needs. While Invisalign is a popular orthodontic treatment, our Brooklyn Heights dental office also offers braces for patients who don't qualify for Invisalign. Our orthodontists are certified Invisalign providers who have taken advanced training courses to provide you with an excellent orthodontic experience. Request a consultation today to see if Invisalign clear aligners are right for you.

Brooklyn Patients Love Our Practice
"10 out of 10 would recommend, 2 thumbs up, 20 stars! Starting at the beginning the office is neat, clean and bright. Reception staff was friendly, welcoming and attentive and this was at the end of the day."
— Narissa, 5-Star Review
Seeing Is Believing We Provide Incredible Invisalign Results
Invisalign Is Affordable When You Choose Dentistry at The Heights
Insurance and Financing
You may be surprised to learn that most dental insurance plans will contribute to the cost of Invisalign. We work with most providers, and if you are unsure about how your benefits apply, just give us a call. We'll help determine exactly what your plan covers.
If you're uninsured or need help budgeting for remaining out-of-pocket costs, we work with CareCredit, the most trusted third-party lender in dentistry. Depending on your credit score, you can take advantage of low-interest or interest-free financing that can make it easy to budget for treatment. It won't affect your credit score to see if you qualify.
Save Time & Money
Did you know that you can actually save time and money by undergoing Invisalign treatment? The results of this simplified orthodontic solution are so much more than cosmetic. Properly aligned teeth are easier to brush and floss, which means you benefit from a reduced risk of developing cavities and gum disease.
Taking time to treat your smile with Invisalign now can keep the cost of your dental treatment — and your time spent in our Brooklyn dentist's chair — to a minimum for the rest of your life!
Benefits of Invisalign

Discreet
Compared to other orthodontic options like traditional metal braces, Invisalign straightens crooked teeth discreetly. Because the aligners are clear, they are much more difficult for people to see, especially at a distance.
Convenient
The aligners are easy to clean, and this treatment requires fewer visits to the dentist than traditional braces.
Nonrestrictive
You can remove your trays for two to three hours a day. Therefore, you can enjoy your favorite foods without the worry of causing damage to your orthodontic appliance.
Comfortable
The trays are BPA-free, comfortable, and will not irritate your lips or gums the way metal brackets and wires can.
Easy to Clean
With traditional braces, food gets trapped in the hardware and the bacteria can lead to tooth decay and gum disease. Invisalign makes it easier to keep your teeth clean during the treatment process.
Are You a Candidate for Invisalign?
The aligner trays can address minor to moderate teeth and bite misalignment. Schedule a consultation at our Brooklyn practice if you have:
Overbite
Open Bite
Crossbite
Underbite
Crowded Teeth
Gaps Between Teeth
“Highly recommend this place!”
"AMAZING experience. The vibes were great here from the second I walked in. I can be a bit skeptical about dentists trying to upsell me on unnecessary procedures, but this was not an issue here at all. Highly reccomend this place!!"
— Gabby, 5-Star Review
The Invisalign Treatment Process
Depending on your orthodontic goals, you will often see final Invisalign results in about a year.
Care After Invisalign
Wear a Retainer
Once your Invisalign treatment is over, you'll need to continue wearing a retainer at night to maintain your straightened smile. In most cases, patients can wear their last Invisalign aligner as their retainer.
Consider Teeth Whitening
Many patients find they have mild tooth discoloration after their Invisalign treatment. Our orthodontists offer professional whitening for patients who want a bright, white smile to complement their straight teeth.
Brooklyn Gives Us 5 Stars
“I do not know anyone who likes going to the dentist. I don't. But, I did like going to Dentistry at the Heights. I appreciate everyone for their humor, honesty, and transparency.”
— Donna, 5-Star Review





