
Veneers
Teeth stains, a chipped tooth, or other visible flaws on your natural teeth may make you hesitant to smile or laugh.
Porcelain veneers placed by Dr. Kevin Trotter at his state-of-the-art Brooklyn Heights, NY, practice can instantly conceal dental flaws.
Learn more about how Dr. Trotter of Dentistry at The Heights can improve the appearance of flawed natural teeth with dental veneers.
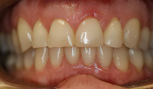
What Are Dental Veneers?
A veneer is a thin porcelain shell that covers the front surface of your tooth. These shells are frequently used in cosmetic dentistry to cover up a range of cosmetic imperfections. Dentistry at The Heights, in the Brooklyn Heights neighborhood of Brooklyn, NY, offers both traditional and minimum-prep veneers made from top-grade porcelain to help patients achieve gorgeous-looking smiles.
Depending on your unique needs and goals, Dr. Trotter may be able to create your porcelain veneers during one appointment at our Brooklyn Heights, NY, practice with our advanced, innovative CEREC® machine (chairside economical restoration of esthetic ceramics). Or he can have them created by dental restoration artisans at an advanced dental laboratory.
Placement of Porcelain Veneers
Why Our Patients Love Us "Dr Trotter is a superb dentist..."
I have been a patient at Dentistry at the Heights for many many years, coming to this practice because they treated "apprehensive adults". Dr Trotter is a superb dentist, has a totally modern level of equipment, and an exceptionally clean office. The consideration patients receive, from all staff, is very helpful and calming.
View on GoogleDentistry at the Heights has a way of making a patient feel like they are their only patient. They take the time to explain options and answer any questions. Dr. Trotter is extremely knowledgable and has a professional, courteous, well run office. I would highly recommend going to Dentistry at the Heights.
View on GoogleAbout Veneers
Benefits of Dental Veneers
Hide noticeable discolorations, especially if they do not respond to whitening treatments
Improve the appearance of small, worn, or unusually shaped teeth
Conceal small cracks or chips
Close minor gaps between teeth
Straighten out the look of misaligned or crooked teeth
Dental Veneers Can Be Part of a Smile Makeover
Want a More Dazzling Smile? Contact Dentistry at The Heights for a Consultation
Dr. Trotter has vast education and training in the fields of cosmetic and restorative dentistry and can use high-quality dental veneers to enhance your smile. Sometimes placement can be done in one appointment with our same-day CEREC machine.
If the enamel on your teeth is chipped, has discolorations, or you just want a straighter-looking, refreshed smile, customized porcelain veneers placed by Dr. Trotter at his Brooklyn Heights, NY, practice could be the answer. Contact him today for a one-on-one consultation using our online form or by phone. Let's get you smiling again.
(718) 625-2116

5-Star Reviews for Dentistry at The Heights "I had a good experience and plan to stay with this team."
10 stars! It is my pleasure to recommend Dr. Kevin Trotter. He is gifted, both as a professional in dental treatment and in his ability to discern the individual cosmetic needs for his patients. Dr. Trotter is not only an expert in his field as a dentist, he also is an artist with regard to the complicated and precise assessment of cosmetic dentistry...
View on GoogleI am a first-time patient so I had to have several sets of x-rays taken and a cleaning. I was very impressed with the technology and the knowledge and friendliness of the staff. Dr. Trotter explained to me the work that I needed to have done which was in line with what my former dentist recommended. I had a good experience and plan to stay with this team.
View on GoogleWhy Choose Dr. Trotter for Veneers
- Our dental team and our patients will work together to realize a shared vision of uncompromising excellence in dentistry.
- Dr. Trotter has been providing superior dental care to Dentistry at The Heights patients of all ages since he took over the practice from his father over 15 years ago.
- Our practice has earned our patient's trust by exceeding their expectations for more than 40 years.
- TVs, headphones, and internet radio await you in every procedure room. Dr. Trotter also offers sedation dentistry to help anxious patients relax.
- Our high-tech digital tools allow Dr. Trotter to design and create dental veneers that match your existing teeth as naturally as possible.
Dr. Trotter Offers Two Kinds of Veneers: Traditional and Minimal-Prep
The Traditional Veneers Procedure
Can be one or two appointments
A porcelain veneers treatment with Dr. Trotter can help you achieve the gorgeous-looking smile of your dreams.
The Minimum-Prep Veneers Procedure
Minimum-prep veneers cover the same flaws as traditional veneers but are much thinner. This allows them to be placed with little or no teeth reshaping, and most likely, no need for anesthetic injections. Minimum-prep veneers also tend to cost less. However, it is important to note that they are not appropriate for all veneers patients. Dr. Trotter will discuss your options during your consultation. The two-appointment procedure is as follows:
- Detailed digital impressions will be taken of your teeth.
- The impressions will be sent to a specialized dental lab, where ceramists will design your customized, minimum-prep veneers to blend flawlessly with your smile.
- At your next appointment, Dr. Trotter will check for a proper fit and bond them in place to instantly enhance your smile.
More Glowing Testimonials from Smiling Patients "...go to this guy."
I finally found a Dental Practice I love! As someone that's had bad dental experiences in the past, finding a new, and reliable, provider is particularly scary. I found Dentistry at the Heights through my insurance provider. After reviewing their noteworthy credentials I decided to make an appointment. I needed a cleaning and wanted to address a unique problem I had. I cannot imagine going any where else now.
View on GoogleDr. Kevin Trotter has been my dentist for years. Today he replaced two crowns and it was so wonderful to be in such capable hands. Dr. Trotter is professional, personable, has a great sense of humor and state of the art technology. If you want something done right; and we all want our dentist to get it right, go to this guy. I can’t say enough about how caring he has been to my husband and I.
View on GoogleFrequently Asked Questions
Do I qualify for veneers?
Dr. Trotter will go over your candidacy during your initial exam. As long as you don't have severely crooked teeth, missing teeth, decayed teeth, or gum disease, you should be a good candidate. These issues may need to be treated before veneers can be placed.
How long do veneers last?
Traditional veneers can last 10 to 15 years with proper oral care, while minimum-prep veneers can last up to around seven years.
Any diet restrictions with veneers?
Not really, but Dr. Trotter may advise you not to bite or chew ice, candy, or other hard, crunchy foods with your front teeth.
What are the risks of veneers?
When applied by an experienced cosmetic dentist like Dr. Trotter, there are basically no risks associated with porcelain veneers. Patients should only be aware that they may experience mild tooth sensitivity for a day or so after their treatment.
How do I take care of dental veneers?
You will care for your veneers just like you care for your natural teeth. Brush and floss every day and be sure to visit our Brooklyn Heights office at least twice a year for regular cleanings.
Get Started Today
Don't go through life unhappy with your teeth. You could be only two dental appointments away from a completely transformed smile. Take the first step right now by requesting a consultation at our Brooklyn practice. You can request a consultation online or call (718) 625-2116.






