
Veneers Cost
How Much Are Porcelain Veneers?
According to the American Dental Association, the cost of veneers in the U.S. can range between $925 to $2500 per tooth. Our dental veneer treatments are customized to the individual, so your price will vary.
The best way to learn more about our pricing is to request a consultation at our Brooklyn, NY, practice. There, our dentists can review your aesthetic goals to determine your total cost of treatment.
Will Insurance
Cover My Cost?
/
Veneers conceal multiple cosmetic flaws like chipped, cracked, gapped, and discolored teeth and are considered a cosmetic dental procedure. While insurance will not cover the cost of cosmetic work, our New York practice has partnered with CareCredit to help keep costs affordable.
What Can Affect My Cost? Customized Plans Come With Varied Pricing
Number of Veneers
Veneers can be used on a single tooth or multiple teeth. The number of veneers you need will affect your overall cost of treatment.
Type of Veneers
We offer traditional and minimal-prep veneers, both made with high-quality porcelain. However, traditional veneers are typically more expensive since more work is involved.
Condition of Your Natural Teeth
Patients in poor oral health may need additional dental work to prepare their teeth for veneers. The more work necessary, the higher the cost of your total treatment.
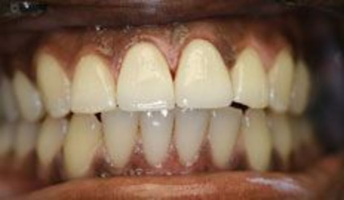
See the Transformative Results Our Porcelain Veneers Can Create


Traditional vs. Minimal-Prep What Is the Difference?
Minimal-Prep
Minimal prep veneers, similar to Lumineers, require very few alterations to your enamel. Minimal-prep veneers are typically less expensive and best for patients needing minor cosmetic enhancements. Like Lumineers, this solution may not be the best choice to conceal especially prominent flaws. We will assess your smile and determine which approach is the best way to give you your very best smile.
Traditional Veneers
Traditional veneers require significant removal of your natural tooth's enamel to make space for the porcelain shells. They are durable and long-lasting. While minimal-prep veneers can last 5-7 years, traditional porcelain veneers can last for 10 or more with proper care. Traditional veneers are great for patients looking for a more dramatic enhancement to their smile.
"My experience is always a great one."
My experience is always a great one at the Heights. I never have to wait long to see Dr. T. The entire staff is very profession and attentive.
View on GoogleI became a patient at Dentistry at the Heights 15 years ago... everyone in his office is professional and nice. Every procedure my family has had over the years has been done with great results.
View on Google
